CABINET DENTAIRE DU DR JULIE LE LAUSQUE
Dentisterie Esthétique ♦ Chirurgie Dentaire ♦ Parodontologie ♦ Prothèse Implantaire et Réhabilitation Globale
CABINET DENTAIRE DU DR JULIE LE LAUSQUE
Dentisterie Esthétique ♦ Chirurgie Dentaire ♦ Parodontologie ♦ Prothèse Implantaire et Réhabilitation Globale

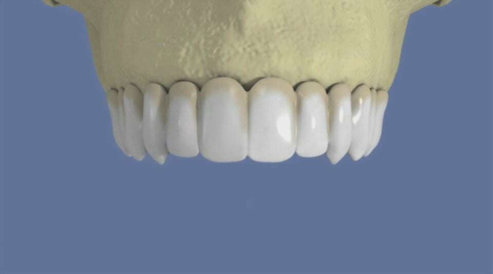
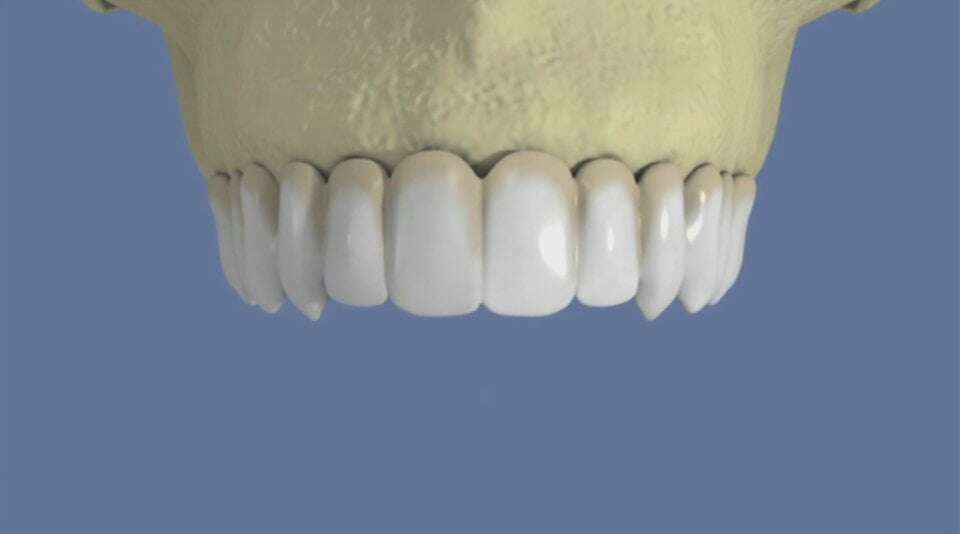
Maxillaire : bridge vissé sans fausse gencive


video-play-icon

Articles similaires

Derniers articles

Carriere motion classe ii

18 Déc 2024

L’innovation numérique et les restaurations dentaires

18 Déc 2024

Le dispositif de carrière

18 Déc 2024

Catégories

Création par Webdentiste

Connexion

Prendre rendez-vous en ligneDoctolib